杰网资源 Design By www.escxy.com
PS是我们经常用来P图的软件,它强大的功能基本可以满足你的一切需求。那么可不可以用来给牙齿美白呢?当然是可以的啊,今天小编就教你如何使用PS给牙齿美白,下面我们来看看吧!
方法/步骤
首先我们打开桌面上的PS,如下图所示。
接下来按Ctrl+O打开你想要修改的图片,如下图所示。
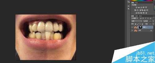
按Ctrl+j快捷键复制图层,得到图层1复制,如下图所示。
选择复制图层,点击工具栏下面的添加图层蒙版,给图层1 复制添加一个蒙版,把前景色和背景色分别改为白色和黑色。如下图所示
选择图层1 复制的图层蒙版,选择画笔工具,用背景色(黑色)在牙齿上涂抹,如下图所示。
涂抹完后按快捷键Ctrl+I进行反向,以保留牙齿。如下图
找到属性栏中的“通道”,选择我们刚才涂抹的部分,转化为选区。如下图所示。
转化为选区后,选择画笔工具,颜色改为白色,笔刷改为软笔刷,不透明度改为50%,在牙齿上涂抹。如下图所示
涂抹完毕后,牙齿就已经变白啦。如下图
以上就是PS给牙齿进行美白处理方法介绍,操作很简单的,大家学会了吗?希望这篇文章能对大家有所帮助!
标签:
PS,牙齿,美白
杰网资源 Design By www.escxy.com
广告合作:本站广告合作请联系QQ:858582 申请时备注:广告合作(否则不回)
免责声明:本站文章均来自网站采集或用户投稿,网站不提供任何软件下载或自行开发的软件! 如有用户或公司发现本站内容信息存在侵权行为,请邮件告知! 858582#qq.com
免责声明:本站文章均来自网站采集或用户投稿,网站不提供任何软件下载或自行开发的软件! 如有用户或公司发现本站内容信息存在侵权行为,请邮件告知! 858582#qq.com
杰网资源 Design By www.escxy.com
暂无评论...
稳了!魔兽国服回归的3条重磅消息!官宣时间再确认!
昨天有一位朋友在大神群里分享,自己亚服账号被封号之后居然弹出了国服的封号信息对话框。
这里面让他访问的是一个国服的战网网址,com.cn和后面的zh都非常明白地表明这就是国服战网。
而他在复制这个网址并且进行登录之后,确实是网易的网址,也就是我们熟悉的停服之后国服发布的暴雪游戏产品运营到期开放退款的说明。这是一件比较奇怪的事情,因为以前都没有出现这样的情况,现在突然提示跳转到国服战网的网址,是不是说明了简体中文客户端已经开始进行更新了呢?















